
近日,樱花动漫 心血管内科二病区楚天舒主任团队首次成功完成TaurusElite®介入导管微创瓣膜手术(TAVR)。此次手术的成功,标志着医院心血管内科介入手术水平又上一个新台阶。

患者为71岁男性,就医前出现头晕、呼吸困难、胸痛等症状。经术前超声心动图诊断,患者属高龄高危,先天畸形TYPE-0型二叶瓣,主动脉瓣重度狭窄伴轻度反流,主动脉瓣前向4.3m/s,平均跨瓣压差72mmH。患者曾患有多种基础病,体质虚弱,不能承受开胸换瓣手术。楚天舒主任团队对患者病情进行整体评估后,将患者情况汇报分管医疗副院长赵宁辉,赵宁辉副院长带领医务处组织心血管内科、麻醉手术科、心脏血管外科、重症医学科等进行多学科会诊,结合患者实际情况,为患者制定最适合的手术方案,最后决定给该患者行介入导管微创瓣膜手术(TAVR)。术前多学科专家一起制定了详尽的诊疗及手术方案,并准备了多套的应急预案。

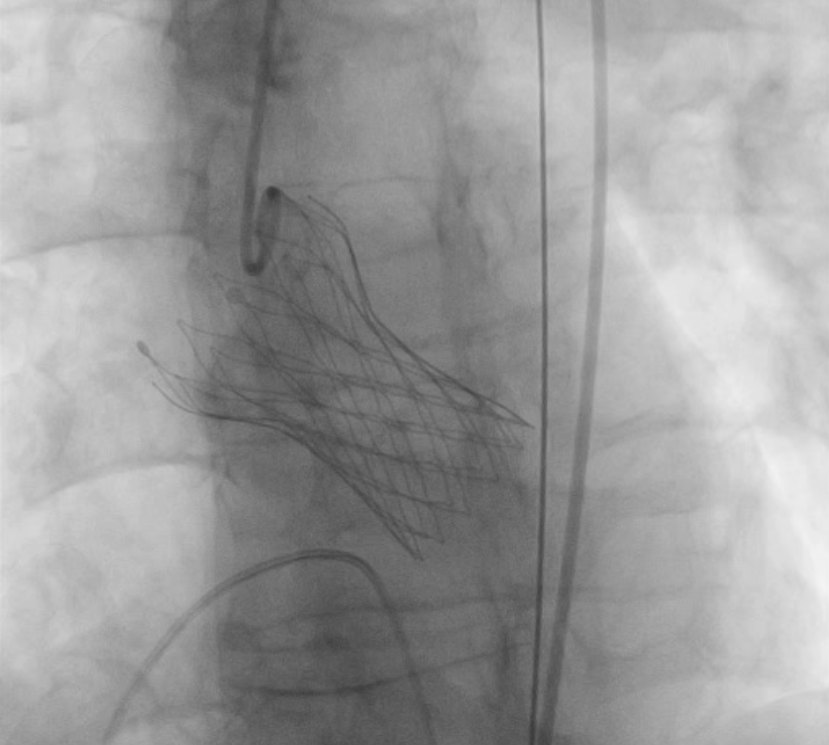
6月21日下午,楚天舒主任团队成功为患者进行了TAVR换瓣治疗。手术中,通过主动脉根部造影,可见患者的主动脉瓣活动僵硬,已不能很好开阖。通过导管测量得到植入前心室主动脉压力差接近100mmHg,提示主动脉瓣狭窄已严重阻碍心脏正常泵血工作。人工瓣膜成功植入后,可见人工瓣膜瓣叶开阖自如,心脏对外泵血压力明显减轻,导管测得压力阶差降至8mmHg。这提示着患者的主动脉瓣狭窄情况,已较前大为缓解,手术圆满成功。术后患者生命体征平稳,带气管插管安全返回ICU特护。一天后,患者转回心血管内科二病区继续治疗。目前,已顺利出院。

“主动脉瓣狭窄是一种多发于60岁以上老年人的心脏瓣膜疾病,它的特点是起病隐匿,发病迅速,出现症状的患者,两年生存率仅为50%左右。”楚天舒主任介绍。目前对于重度主动脉瓣狭窄患者,药物保守治疗无法解除病因,只有通过换瓣手术,才能有效改善生活质量。

科普小知识
一、什么是TAVI(又称TAVR)?
TAVI(TAVR)是经导管主动脉瓣植入术(置换术)的简称。Transcatheter Aortic Valve Implantation,TAVITranscatheter Aortic Valve Replacement,TAVR。TAVI/TAVR是一种微创手术。在保留原有的病变主动脉瓣基础上,在其内部插入或者说植入一个新的瓣膜。通常可以选择经股动脉穿刺,在导管下进行,类似经股动脉穿刺的冠状动脉支架术。
TAVI的操作方法有点类似于在动脉内放置支架,通过导管将一个完全可折叠的人工瓣膜送到主动脉瓣部位。一旦此人工瓣膜释放,扩张,就会把原有的病变的瓣膜瓣叶推开,新的瓣膜中的瓣叶等结构,就会替代原有瓣膜的功能,接管主动脉瓣原有的调节血液流动的工作。
虽然任何手术操作,包括TAVI,都不是没有任何风险的。但是对无法或不耐受传统开胸瓣膜手术风险高的患者来说,它提供了一种有益的选择。TAVI手术后恢复时间明显低于传统开胸手术,恢复情况可能与普通冠状动脉造影相似。与外科瓣膜置换术相比,TAVR术后患者住院时间更短。
二、哪些患者适合做这种瓣膜手术?
目前认为,TAVI适合所有危险类别的患者。即适用于有症状的严重主动脉瓣狭窄、低、中或高风险的标准瓣膜置换术患者。
对于接受传统主动脉瓣手术有困难的患者来说,TAVI是一种改善生活质量的有效选择。
当前,我国人口老龄化,心脏瓣膜疾病发病率增加,其中主动脉瓣狭窄尤其常见。以前对于主动脉瓣狭窄的患者,只有传统开胸手术一种选择。但是老年人群接受开胸手术的风险普遍偏高。欧美数据显示有相当比例的高龄患者不能耐受开胸手术。而TAVI的出现则是一种非常有益的补充。近年研究显示,与药物治疗相比,TAVI可以降低46%的死亡率,并显著改善无法接受传统手术的严重主动脉瓣狭窄患者的生活质量。
文图: 心血管内科二病区