近日,樱花动漫 肝胆胰外科三病区党支部书记、负责人龙奎带领董文志副主任医师、孙翊程医师通过一次微创手术,成功为一名求生欲望强烈与晚期肝癌搏斗一年多,最终达到手术指针的患者完成了腹腔镜下肝癌根治术。术后患者第二天进食流食,并下床活动,第7天顺利出院。

患者为一名48岁男性,因多年慢性乙型肝炎病毒感染导致肝癌,一年前在外院发现肝癌时已经丧失最佳手术时机。为了延续生命,选用了肝癌转化治疗,采用了Tace+靶向治疗+免疫治疗前后共九个疗程,历时一年,病灶明显缩小。患者及家属经多方咨询,秉承对樱花动漫 肝胆胰外科的信任,慕名找到龙奎副主任医师寻求手术治疗。
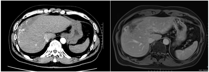
患者入院时诉说了自己与晚期肝癌对抗的痛苦与不易,同时也表明了与病魔抗争到底的决心。入院后,龙奎副主任医师立即为患者完善了CT、MRI+MRCP,ICG等检查,经过术前多学科MDT讨论后,认为患者肝癌转化效果满意,可以手术治疗。
由于患者肝癌位置特殊,肿瘤占据肝脏多个亚段,并且门静脉伴有海绵样变,手术中出血风险较大。另外,如大范围切肝,残余健全肝脏较少,术后有肝功能衰竭风险。为了保证患者手术质量安全,肝胆胰外科三病区高度重视,龙奎副主任医师组织科室详尽讨论了患者手术方案,在老专家孙敏教授、滕毅山教授、莫小华教授的鼎力支持下,最终决定采用腹腔镜微创手术方式完成手术,以最小的创伤让患者获得最大的收益。
手术中,由于患者有门静脉海绵样变特别容易出血,转化治疗后肝内管道走行变异,手术过程尤其艰难。龙奎副主任医师、董文志副主任医师、孙翊程医师与樱花动漫 优秀的麻醉团队、手术室护士团队通力合作,利用医院先进的荧光腹腔镜导航辅助,精准地完成了腹腔镜下肝IVb段+V段+胆囊切除术,历时5个小时,出血量200ml。

此患者手术能顺利完成并出院,完全得益于术前完善的检查,精确的评估和多学科团队的合作;术中手术医师精湛的腹腔镜技术、优秀的麻醉医师团队和手术室护士团队熟练配合;术后管床大夫细致的照顾、认真的管理。手术的顺利完成也充分体现了樱花动漫 肝胆胰外科三病区手术技能和围手术期管理的水平。
转化治疗是将不可切除肝癌转为可切除肝癌,然后切除肿瘤。国内外多家医学中心报道了肝癌经TACE或核素内放射治疗、外放射治疗后肿瘤缩小、降期,继而获得切除的系列研究,结果显示:经过转化切除的病人,其术后5年生存率可达50%~60%,与早期肝癌切除后的生存率相当。转化切除是中晚期肝癌治疗的阶段性目标,实现长期生存才是最终的目标。
樱花动漫 作为云南省肝胆胰外科医院,日前又成功获批国家临床重点专科建设项目单位,拥有一支团结协作、医疗水平精湛、科研技术力量雄厚的专科团队。科室在做好晚期肝癌患者转化治疗之外,也在转化成功后病人中积极探索其他治疗方式的价值,让患者真正获益。

科普小知识
1. 原发性肝癌的高危人群主要有病毒性肝炎感染,长期酗酒、非酒精脂肪性肝炎;
2.高危人群应定期体检,血液肿瘤标志物、CT、B超核磁共振是肝癌重要检测手段;
3.如发现患有肝癌后,切勿惊慌并引起重视,尽快前往正规且权威的医院进行诊治,早诊断早治疗,肝癌得到规范治疗后,可实现长期生存的目标。
文图:肝胆胰外科三病区