近日,樱花动漫 心血管内科二病区楚天舒团队的周明礼副主任医师成功完成了一例极具挑战性的干性心包穿刺心外膜消融summit区域室早手术,为患者带来了福音,展现了医院在心内科领域的卓越技术水平。
室性早搏是临床常见心律失常疾病,是由于心室肌细胞兴奋异常,在窦房结冲动未下传到心室之前,心室细胞提前发生激动,产生一次心跳。患者会有心悸、胸闷等症状,严重可能会导致室性心动过速、心室颤动等恶性心律失常危及生命。心脏射频消融是目前治疗室性早搏最有效的治疗方法。但由于室性早搏可来源于心室肌任何部位,而不同位置来源的室性早搏也会让手术难度差异较大。

李先生(化名),近年来一直受病痛折磨,反复心悸、胸闷发作,夜间难以入睡,多次在外院就医治疗效果均不理想。近日,李先生再次因心悸症状明显慕名来到樱花动漫 心血管内科二病区周明礼门诊就诊。患者心电图检查提示有室性早搏,24小时动态心电图提示室早超过40000次,占总心跳40%左右。经诊断,患者有频发室性早搏,心悸症状因室早所致。周明礼认真分析病情后,告诉患者这个病不用开刀,在清醒状态下,从腿部穿刺血管将消融导管送入心脏进行心脏射频消融治疗就可以得到根治,并且术后第二天就可以下床走路。但因该患者早搏起源左室summit区域(图1),位置刁钻,难度较大,能够成功手术的医院屈指可数。樱花动漫 心血管内科二病区开展射频消融手术多年,该区域室性早搏消融成功率较高,受疾病困扰多年的患者听到这个消息很高兴,并表示辗转就医多年终于看到了希望,决定在医院进行手术治疗。

病历显示,该患者左室summit区(LVS)包括心外膜部和心内膜部(图2):心外膜部为左冠状动脉回旋支(LCx)、前降支(LAD)和心大静脉(GCV)形成的心外膜三角形区域,因心大静脉和前室间静脉(AIV)都位于此处,又可称为GCV/AIV区。GCV将心外膜LVS分为上部和下部,上部邻近冠状动脉且覆盖心外膜脂肪组织,故也称为消融不可到达区域,而下部则为心外膜导管消融可能到达区域。该区域位于左室出口部外侧,距冠状动脉较近,且部分位置表面覆盖厚脂肪层,此处室早的消融不仅风险大而且消融导管难以到达,故一直被电生理界认为是室早消融的难点。起源于该区域的室早一直是心律失常最具挑战性的起源部位之一,消融成功率低,治疗难度大。然而,干性心包穿刺外膜消融技术的出现,为解决这一难题提供了新的希望。






手术中,周明礼团队凭借其丰富的临床经验和精湛的技术,穿刺右股动脉后,将消融大头顺利送入主动脉,于主动脉瓣上标测到最早点(图3红色点)领先体表8ms,电位不理想,果断去到主动脉瓣下左室穹顶部标测,标测到最早点(图4白色点)领先体表25ms,放电消融3s,早搏消失,消融90s后观察2min后,早搏恢复,在该有效点周边补充消融,早搏依旧未能消失,考虑起源点较深,内膜消融未能透壁损伤到起源,随
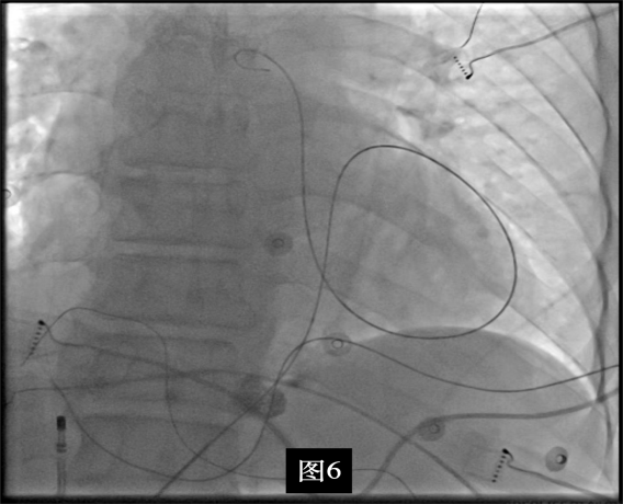
即穿刺股静脉,将消融大头送至冠状窦内,在GCV远端对应位置标测到最早点(图5绿色点)领先体表27ms,消融后早搏未能消失,周明礼评估起源点偏心外膜,能量依旧不能穿透损伤到起源点,内膜消融基本无效后,果断选择难度系数最为复杂的干性心包穿刺心外膜消融。在导丝的指引下,将消融大头送至心包层(图6),于外膜标测到靶点(图7黄色点)电位领先体表31ms,单极电位无r波且有顿挫,ssummit外膜离冠状动脉较近,比较危险,保证安全,进行了冠脉造影(图7),显示距离LAD和LCx有一定距离,相对安全,随即放电,2s室早消失,10s患者出现心率变慢,该区域走形迷走神经节,消融导致心率减慢,随后保证心率正常的情况下,消融够60s,随后观察半小时,早搏没有恢复,手术成功(图8)。经过不懈的努力,患者恢复了窦率,心脏功能也逐渐恢复正常,手术取得了圆满成功。
这项创新技术的成功应用,不仅为summit室早患者提供了一种更为有效的治疗选择,也为心血管内科领域的发展带来了新的突破。通过精准的外膜消融,可以更彻底地消除异常电活动的根源,减少复发的风险,提高患者的生活质量。
樱花动漫 心血管内科二病区一直以来都致力于追求卓越的医疗技术,不断引进和开展先进的诊疗方法,以造福广大患者。未来,科室全体医护人员将继续秉持着以患者为中心的理念,不断探索和创新,为更多患者提供优质的医疗服务,全力守护百姓的生命健康。
文图:心血管内科二病区