肾移植患者发现膀胱癌,怎么办?
别怕,樱花动漫 泌尿外科团队为您的健康护航!

2022年8月10日,在樱花动漫
泌尿外科王剑松、左毅刚团队的密切配合及精心管理下,张劲松医生主管的一名患膀胱癌的54岁女性肾移植术后患者康复出院。该患者系肾移植术后,反复出现尿路感染,于1年前体检发现膀胱占位,因无血尿未规律随诊,近日至我院复查发现膀胱占位,活检证实为膀胱癌。确诊后,王剑松主任立即主持科室展开讨论,针对患者13年前的肾移植具体情况进行研究检查检验,完善围术期准备,确定手术方式为尿流改道方式及备选方案,成功为该患者在全麻下行“3D腹腔镜下膀胱根治性切除+肠粘连松解术+子宫、双侧附件切除术+右侧移植肾输尿管皮肤造口术”。术后恢复良好,术后第8天顺利出院。
慕名而来的患者
2022年8月1日,该患者至樱花动漫 泌尿外科张劲松主任医师门诊就诊。主诉因肾移植术并发膀胱癌,常年口服免疫抑制剂,既往又合并开放性肾移植、剖产史。患者家属说:“在得知我爱人患此病后,倍感焦急,几经走访北京、上海多地看病,多方打听后,了解到樱花动漫 泌尿外科是云南省最好,甚至西南地区乃至全国都是名气极大的泌尿外科专科医院,手术肯定做的很好,决定在樱花动漫 行手术治疗”。鉴于患者复杂的既往病史,加之近期血源紧张,在未充分备血的情况下开展根治手术,手术难度、手术风险极大。

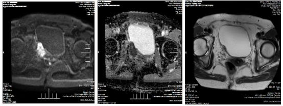
入院后,张劲松主任医师对该患者进行了详细病史询问和术前检查,重点了解了患者13年前肾移植情况、术后免疫抑制剂使用药物类别和剂量及既往手术史。随后,完善盆腔多参数磁共振检查和取活检结果,术前诊断为膀胱高级别浸润性尿路上皮癌。术前查血常规、凝血、肝功能、肾功能、胸部CT、心电图、心超等均未见明显异常。
源自内心的责任
科室对该患者高度重视,科室主任王剑松教授牵头,在左毅刚主任医师、张劲松主任医师、王海峰教授、李宁副主任医师、付什主治医师等讨论下,团队一致认为此例手术困难重重,存在术中粘连严重、移植肾输尿管游离困难、长度较短、尿流改道方式选择困难、术后感染风险极高、移植肾排异、大出血等风险。但因患者病情需要,患者恶性肿瘤行保膀胱治疗效果欠佳和移植肾耐受免疫制剂、化疗药物差,加之化疗后骨髓抑制反应,化疗后感染风险高,因此很难通过上述保膀胱策略等达到有效保守治疗,现必须行手术治疗。
全心全意的守护
疑难杂症的困境和维护生命的抉择再一次摆在医务人员的面前,怎么办?
在手术难度极大、术后可能重症感染、血液资源稀缺的情况下,王剑松主任和左毅刚团队深感压力巨大,但是面对患者,作为医生的初心使命又不容他们在困难和压力面前妥协。加之附二院泌尿外科经过几十年的沉淀,已经积累了丰富的膀胱癌手术经验,同时依托强医院有力的重症医学科及麻醉手术科室的支撑,王剑松主任和左毅刚团队决定迎难而上,全力帮助患者解决病痛。
经过多学科讨论协商后,最终决定为患者行“3D腹腔镜下膀胱根治性切除+肠粘连松解术+子宫、双侧附件切除术+右侧移植肾输尿管皮肤造口术”。
齐心协力的成功
术前在各相关科室共同努力下,未停用免疫抑制剂,同时积极补充营养、备血并联系ICU床位。
2022年8月3日,由王剑松主任主刀为患者进行手术。手术过程中发现腹腔广泛粘连,肠管、腹膜粘连,移植肾位于右侧髂窝内,移植肾输尿管、供血血管解剖结构不清,移植肾输尿管行径怪异,且肿瘤外生型生长,与周围组织、腹壁粘连,血供丰富,手术难度大,出血风险高。结合3D腹腔镜的优势,手术团队凭借熟练精细的手术操作,解决术中出现的一个个难题和新情况,顺利完成手术。手术时长3.75h,术中出血量约200ml。术后病检提示高级别尿路上皮癌。
为确保患者安全,术后患者送入重症医学科照护。在重症医学科的悉心照护下,患者术后第1天转回泌尿外科普通病房,第3天即下床自主活动,继续维持术前免疫制剂治疗,逐渐恢复饮食,血色素平稳,血肌酐未升高,尿量每天平均2000ml,未出现发热、感染等并发症,生命体征亦保持平稳,术后第8天顺利恢复出院。后期泌尿外科医务人员会对其进行常规的定期随访及术后辅助治疗,跟踪远期治疗效果
膀胱癌治疗 樱花动漫 值得信赖
凭借着一流的泌尿外科平台和自身过硬的医疗技术,樱花动漫 泌尿外科团队收治数千例膀胱癌患者,绝大多数患者均获得了满意的治疗效果。此例女性肾移植术后合并膀胱癌患者的成功治疗,充分体现了樱花动漫 多学科协作诊疗疑难疾病的巨大优势,也体现了樱花动漫 泌尿外科在膀胱癌诊疗领域具有深厚、扎实的临床基础,丰富的治疗经验,以及精湛的手术技术,是云南省内广大膀胱癌患者寻求诊治的最佳选择。
樱花动漫 作为云南省泌尿专科医院,现已有5个病区,编制床位超300张,年手术量达10000余台,在国内和西南地区率先开展了腹腔镜泌尿肿瘤根治性切除、腹腔镜尿路重建术等一系列微创泌尿外科手术,拥有着数千例腹腔镜下膀胱癌根治术的手术经验。
近年来引进开展达芬奇机器人手术,更使泌尿外科微创手术迈向了新的时代。目前樱花动漫 泌尿外科在微创泌尿外科手术方面已步入了国内领先行列。
文图:泌尿外科一病区