2022年11月9日,樱花动漫 心血管内科二病区楚天舒主任团队利用Shockwave IVL血管内冲击波新技术成功治疗一位重度冠脉钙化患者。该手术的成功完成标志着我院心血管内科对于冠脉血管钙化病变介入治疗进入新阶段。

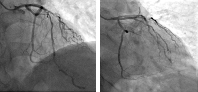
术前造影
患者为一名67岁的男性,于一月前因“反复活动后胸痛5年”入院,于右冠脉植入支架一枚。术后患者活动后胸痛较前未见明显缓解。11月9日患者返院,心血管内科二病区根据病人情况,再次为患者行PCI治疗。术中因尝试使用“预扩张球囊”于病变处扩张后效果差,但再次使用“切割球囊”于病变处切割后依旧可见钙化斑块难以充分扩张。通过血管内超声(IVUS)可见左前降最小管腔面积仅1.8mm2,深层大于270°环形钙化斑。

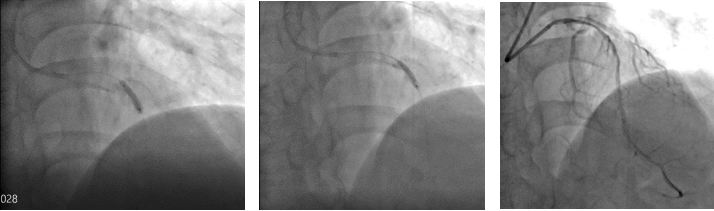
切割扩张后
考虑到目前传统“冠脉内旋磨技术”无法有效解决冠脉深层钙化病变,仔细评估患者病情与适应症后,楚天舒主任当机立断决定使用“Shockwave IVL”新技术处理复杂钙化病变。
Shockwave IVL 是建立在碎石原理的基础上,通过冲击波来碎裂钙化,低压球囊传递冲击波,在安全穿过软组织的同时碎裂浅层和深层血管钙化,使钙化病变松解又不影响血管内膜的完整性,达到钙化斑块修饰的效果,扩大管腔面积的治疗方法。Shockwave IVL为后续的支架顺利置入和展开提供充分的管腔条件,也弥补了目前对于严重钙化病变预处理技术的一些不足。

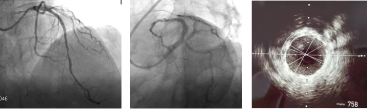
冲击波球
在楚天舒主任指导下,团队顺利使用Shockwave IVL震波球囊对钙化病变处进行多个周期的冲击波治疗。治疗中可见冲击波球囊逐渐扩张开顽固钙化区域,冲击波治疗后复查造影可见左前降支近中段的钙化狭窄处明显改善。术中植入的2枚药物洗脱支架在行IVUS中可见支架贴壁和膨胀良好,血管扩张成形满意。术中患者无明显不适,未见低血压、ST改变及心律失常,术后患者胸痛症状明显好转。目前,该患者病情平稳,胸痛症状完全缓解。

术后造影
Shockwave IVL相比传统的“冠脉内旋磨”技术具有血管损伤并发症少,能处理偏心钙化、优化支架释放等优点。目前我院已配备2间DSA导管室,具备OCT、IVUS、FFR、冠状动脉内高速旋磨、ECMO、IABP等众多先进仪器设备。在与时俱进的治疗观念下,运用先进仪器设备,我院心血管内科成功挽救了众多急危重症患者的生命。今后心血管内科二病区将继续开拓进取,不断前行,为更多重症患者的生命健康保驾护航。
文图:心血管内科二病区