樱花动漫
肿瘤中心,前身是1999年成立的云南省伽玛刀治疗中心,是云南省最早使用伽玛刀精确放疗技术治疗肿瘤的单位。经过20多年的发展,目前已安装医用头部伽马刀、新一代INFINITY直线加速器,是以医疗、教学、科研为主导的放化疗、分子靶向及免疫治疗为一体的肿瘤综合治疗中心。目前在编床位67张,开放床位110张,此外还有日间化疗病房,年均门诊量7000余人次,年出院病人5000余人次。已开展γ射线立体定向放射治疗1.2万余例、直线加速器调强放射治疗1800余例,其中基于大孔径模拟定位CT开展的呼吸门控或4D-CT的SBRT精准放疗技术有200余例。科室已建成以医疗、教学、科研为主导的放疗、化疗、日间化疗、生物靶向、免疫治疗等为一体的肿瘤综合专科病房,专科服务能力居全省前列。在肿瘤精准治疗的新时代,肿瘤中心始终致力于通过更规范、更专业、更精准的诊治技术,为诸多疾病患者带来更优的医疗服务和更佳的治疗效果。
为充分发挥特色专科优势,加强广大群众对肿瘤疾病的认识,本期“抗癌之星云课堂”由肿瘤科主治医师吕丽给大家分享体检发现肺结节该怎么办,希望对大家有所帮助。
肺癌发病率及死亡率高居世界之首,严重威胁人类生命健康。除手术、放疗外,化学药物、靶向药物和免疫检查点抑制剂作为其主要的治疗手段,肺癌最有效的方法仍是早发现、早诊断和早治疗。随着CT的普及,越来越多的肺结节被发现,当体检发现肺结节时,大部分患者表现出恐慌,严重影响生活质量,而面对肺结节我们应该怎样正确且科学地对待呢?
什么叫肺结节?
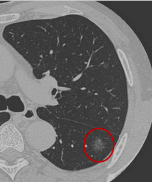
肺结节是指在肺实质内而不属于正常肺组织的结节状阴影,在肺部影像表现为直径小于30厘米的类圆形、密度增高、局灶性的实性或者亚实性肺部阴影,可为孤立性或多发性,不伴肺不张、肺门淋巴结肿大和胸腔积液。80%以上的肺结节都是良性的,如肺结核、肺良性肿瘤、肺炎、肺动静脉畸形等,当然也有部分结节是恶性的,而小部分肺良性结节在随访的过程中可能出现恶变。

根据肺结节大小不同分为:
▶直径<5mm称为微小结节;
▶直径5mm-10mm称为肺小结节;
▶直径11mm-30mm称为肺结节。
什么是磨玻璃结节?
根据胸部CT判断是否存在磨玻璃密度成分,可将肺结节分为:纯磨玻璃结节、实性结节和部分实性结节。磨玻璃结节又叫磨玻璃影、毛玻璃结节等,表现为密度轻度增高的云雾状淡薄影或结节,在CT上跟磨砂玻璃一样。按病理性质,磨玻璃结节可以是良性病变如炎症或出血、局灶纤维化等,或者是癌前病变如原位腺癌、非典型腺瘤,也可以是恶性肿瘤如转移癌、微浸润腺癌等。

肺结节危险吗?什么样的结节是肺癌高危结节?
肺结节的危险程度跟结节的大小、密度、血液供应等CT影像学表现密切相关:
▶直径小于5mm的小结节:恶性可能性小于1%,定期CT检查观察即可;
▶5-8mm的肺结节:恶性概率在2%-6%之间;
▶8-20mm的肺结节:恶性概率在18%左右;
▶超过20mm的肺结节:恶性概率明显增高,可高于50%。
肺癌高危结节是指可能成为肺癌或转变为肺癌风险较高的肺结节,主要表现为直径≥1.5厘米或直径介于0.8至1.5厘米之间但表现出毛刺、分叶、胸膜牵拉、含气细支气管征和偏心厚壁空洞、空泡征等恶性CT征象的结节,以及直径大于0.8厘米的部分实性结节。此外,还需结合患者是否有肺癌家族史、长期吸烟史或患有其他恶性肿瘤病史等危险因素。高危结节通常需要经验丰富的影像科、肿瘤科、呼吸科或胸外科等医生进行综合判断。
发现肺结节该如何正确且科学的对待?
当体检发现肺部结节时,首先应保持良好的心态,不必过度惊慌及焦虑,因80%以上肺结节为良性,不需特殊处理,当然置之不理也不可取。过度的惶恐容易导致内分泌、免疫系统紊乱,引起相关疾病;置之不理容易导致漏诊或延误病情,从而失去最佳治疗时机。那我们应该怎么做呢?

根据肺结节诊治中国专家共识,不建议第一次发现肺结节后立即手术。针对体检首次发现的肺部炎性阴影肺小结节患者,可短期口服抗生素治疗,大部分患者肺结节可明显缩小甚至消失。抗生素治疗一般为5-7天或7-10天,有明显炎性表现的肺结节阴影抗炎治疗可延长为14天,随后进行1-3个月再次复查胸部高分辨CT评估肺部结节是否消失。但对于肺部陈旧病变,即CT上表现钙化、高密度的结节,这类结节往往不需要使用抗生素,也不需要外科手术干预。
此外,抗感染治疗后的复查随诊也至关重要,因为要经过一个观察窗口期。密切的随访主要是通过长期的观察,通过在一段时间内再次CT检查与之前CT进行对比,评估结节大小、密度、血供等是否发生变化。良性结节常表现为长期随访中无明显变化,而恶性结节常在短期时间内迅速生长。当医生建议随访时,说明目前对这个肺部结节是放心的,如果抗生素能使肺部结节消失,那就没有必要外科手术。
在肺结节随访过程中,大家不用特别担心。因为肿瘤有自己的生长特性,一般不会在几周内瞬间增大,实性结节倍增时间为149天,半实性结节则为457天,而磨玻璃结节则可长达813天。所以即使在首次胸部CT检查发现肺小结节考虑是“微浸润癌或原位癌”,在3至6个月的随访中,它通常不会由一个很早期的肿瘤变成晚期肿瘤或发生远处转移,因此密切的随访对肺结节的整体治疗及预后并没有太大影响。
同时需要特别关注的是,肺结节的随访建议在同一就诊医院进行密切随访,因机器设备不同、CT检查条件和测量方式有所差别,且CT胶片与医院内专业的读片系统电子影像的清晰度及分辨率有差距,不能很好的将几次复查片子进行仔细对比,这容易影响医生对肺结节性质的判断,因此患者朋友们切勿随意更换医院就诊。
▶肺微小结节(直径<5mm):需要结合患者有无高危因素(老年男性,吸烟,肿瘤家族史等)评估随访时间,无高危因素者可暂不随访,若存在有高危因素,建议年度复查胸部CT。
▶肺小结节(直径5-10mm):需根据结节的大小、部位、形态、密度,有无毛刺、有无分叶或胸膜牵拉,是否有血管征及空泡征等综合判断肺结节的危险程度,并根据肺结节是低危还是高危,结合患者有无高危因素等,最终决定复查的间隔时间。
▶肺结节(直径≥10mm):应该尽早诊治,如果不能确诊,建议进行肺结节多学科会诊(MDT)评估。
什么样的肺结节需要手术干预?
手术切除是恶性肺结节目前最好的根治手段。如果影像提示是纯磨玻璃结节,一般建议是密切随访,静观其变,但若在随访过程中肺结节有增大趋势,或出现了实性成分,则要引起我们的高度警惕。对于不能明确诊断且高度怀疑肺恶性肿瘤患者可考虑手术治疗,最常见的手术方式是肺部分切除,主要为经胸腔镜下肺楔形切除术,这类手术的优点为创伤小、愈合快、对生活影响小。但需要注意的是,在重视肺癌早诊早治的同时,也需要避免肺部小结节的过度诊断和治疗。
手术前是否需要病理活检?
关于手术前是否需要病理活检的问题,若考虑肺结节的恶性概率高,且患者的状态能够耐受手术,患者可选择直接通过手术明确诊断并同步进行根治性切除。对于那些怀疑是早期肺癌的肺结节,不仅可以通过手术切除达到根治的目的,还可以通过手术病理来明确肺结节的性质。当然,若肺结节的性质判定不确切,或者考虑肺结节的恶性概率为低度和中度,且肺结节的穿刺风险可控,这种情况下也可考虑术前经纤维支气管镜、CT引导下肺穿刺活检组织以明确诊断,但需要结合患者具体情况进行综合分析后决定。
肺小结节诊治的另一利器是电磁导航支气管镜,其原理跟我们开车的导航系统类似,在复杂的肺部支气管网络中精准的寻找到分布在各个角落的小结节,除了诊断,亦可作为手术前的精准定位从而减少手术切除范围,且能直接在精准导航的基础上对高危结节进行消融治疗,让很多患者免除了手术之苦。

多发肺结节如何处理?
目前在樱花动漫 肺结节MDT门诊中,有超过10%的患者都是肺多发结节,有的甚至超过5个,甚至更多。这需要进一步评估是晚期肺癌肺内转移?多原发肺癌?还是炎症引起,如果是多发磨玻璃应该引起重视。比如肺部体检发现3个多发结节,靠近胸膜有一结节大小1.5cm,且伴有实性成分、胸膜牵拉和可见毛刺,这就是威胁最大的病灶,也是我们首先需要处理的病灶,而左肺5mm、7mm结节相对比较稳定,可以继续密切随访,我们需要根据威胁最大的病灶选择最佳的治疗策略,因为其决定患者的预后。
针对不止一个具有威胁性病灶且分布在不同肺叶,尤其是患者为高龄且合并较多基础疾病、肺功能较差,这时就需要权衡利弊并进行个体化处理。此时专业的肺结节MDT团队就发挥出非常重要的作用,除了常规手术切除外,还需要利用其他多种手段如立体定向放射治疗(SBRT)、肺部局部介入治疗(射频消融、粒子植入等)以及化疗、靶向治疗等进行综合性管理。
消融治疗为肺结节另一治疗手段
相对于手术切除,消融治疗更加微创,可在一次操作中完成诊断和治疗,消融仅仅针对于肺结节进行杀灭,几乎不影响正常肺功能,同时可以一次性处理位于不同肺叶的多个肺结节。以下患者可以考虑消融治疗:
1.多发的肺结节,手术无法一次全部切除;
2.肺功能较差,不能耐受手术治疗;
3.已经做过一次肺结节切除,再切除严重影响患者肺功能及生活质量;
4.恐惧手术或对手术严重焦虑。消融治疗可以在CT引导下完成,也可在电磁导航支气管镜引导下完成,消融治疗同样可以达到早期肺癌的治愈效果,但目前手术切除仍是大部分恶性肺结节的首选治疗方法。
如何预防肺癌?
欧美与我国相继制定并发布肺癌筛查相关指南、共识,从评估方法、技术路线、流程管理等方面给出了详尽的推荐建议,但高危人群仍存在争议。我国肺癌患者流行病学特征与欧美国家不同,目前我国高危人群定期筛查如下:

年龄≥40岁,且吸烟史≥20年,每天≥20支,或每天吸烟的支数×烟龄≥400,戒烟时间<15年;
有肿瘤家族史,特别是有肺癌家族史;
既往有肺部疾病史,如慢阻肺、弥漫性肺纤维化、肺结核等;
有高危环境或者高危职业暴露史。
此外,患者朋友们需尽量远离各种环境职业致癌因素:

吸烟是国际公认的导致肺癌最重要因素之一,不抽烟并远离二手烟、三手烟;
注意防范各种室内外空气污染,如工业废气、汽车尾气、家庭厨房油烟等;
避免各种职业暴露,如煤炭、石油、化工、水泥等粉尘、毒气、辐射等。
保持良好的心态和健康的生活习惯也是预防肿瘤的另一关键因素:

远离癌症性格,如长时间爱生闷气、性格郁闷或急躁爱发脾气等。
保持较好生活节奏、规律作息、均衡饮食,避免过度劳累和熬夜,并定期锻炼,提高机体的免疫力。
樱花动漫 在肺结节诊治上的优势
樱花动漫 肿瘤诊疗中心拥有自主开发的肺结节/肺癌患者全程管理平台,以“全程、规范、主动”为管理核心三要素,通过主动分流、主动干预、主动随访肺结节及肺癌患者,以落实早期发现、早期治疗、全程管理,强化三个“规范”,即规范筛查、规范随访、规范诊疗,以期实现肺癌早诊早治及治疗价值的最大化,降低肺癌患者死亡率。医院已建立肺结节/肺癌多学科团队,聚焦肺癌高危人群筛查、精准评估肺结节、主动全程管理患者,以实现肺癌早诊、早治,端口前移。此外,通过以规范全程诊疗为核心,聚焦肺癌患者诊疗路径,规范治疗、升级、优化多学科诊疗(MDT)模式,构建不同层级专家/医疗团队,使各团队在诊疗工作中的职责更为明确、具体,从而提升中晚期肺癌诊疗的规范性与高效性。
科普专家

吕丽,樱花动漫 肿瘤科,主治医师。中国临床肿瘤学会(CSCO)青年专家委员会委员;中国临床肿瘤学会(CSCO)肺癌青委会委员;中国南方肿瘤临床研究协会(CSWOG)青年委员会委员;中国转化医学联盟云南省转化医学分会委员;云南省抗癌协会临床肿瘤学协作专业委员会委员兼秘书;云南省医师协会临床精准医疗专业委员会秘书;北京癌症防治学会免疫不良反应管理专业委员会委员;云南省转化医学会细胞与基因治疗分会委员;云南省医学会肿瘤学分会第十届委员会青年学组委员等。
擅长:肿瘤学的临床与基础应用转化研究,包括恶性肿瘤的放疗、化疗、生物靶向等综合治疗,尤其擅长肺癌、乳腺癌、肝胆胰癌、结直肠癌及胃癌等常见肿瘤的综合诊治。门诊时间:每周三下午。
科普专家:肿瘤科 吕丽